MRI Focal Laser Ablation

What is MRI Focal Laser Ablation?

MRI Focal Laser Ablation ( FLA or Blue Light laser) is a novel, minimally invasive focal prostate cancer treatment that uses MRI guidance to place a laser fiber through the rectum precisely into a targeted prostate cancer tumor. When the laser is activated, the laser energy generates heat that ablates (destroys) the tumor. The treatment is monitored by magnetic resonance imaging throughout, which ensures that the target tumor is completely encompassed while avoiding harm to nearby structures. There are limited published data on effectiveness.

MRI Foc`al Laser Ablation is designed to destroy a patient’s main prostate tumor (or index tumor), while sparing healthy tissue. Its accuracy allows the preservation of normal tissues and structures adjacent to the zone of ablation. This means that urinary and sexual functions are not significantly damaged by the treatment. In other words, the goal is to control prostate cancer while preserving a man’s quality of life.

MRI Focal Laser Ablation is an outpatient procedure performed under local anesthesia and sedation. There is no surgery or radiation, and the procedure is complete in about 2 hours. 

The ablated tumor can be followed up by MRI imaging and MRI guided fusion biopsy at intervals as determined by the physician. If a new tumor occurs, MRI Focal Laser Ablation can be repeated. In addition, it does not rule out any other prostate cancer treatment if needed in the future.

Laser Ablation is FDA-approved for soft tissue ablation but has never been officially studied for treating prostate cancer. This procedure is not covered by Medicare or by any major insurance carriers,

MRI Focal Laser Ablation can be considered for very small discrete tumors in the prostate that are well visualized by MRI. The Advanced Diagnostic protocols in use at the Scionti Prostate Center are essential to identify men that have focal discrete tumors that can be potentially treated with Focal Laser Ablation. Patients are strongly advised to avoid marketing by radiologists not formally trained in prostate cancer management or urological care of patients post-procedure, who offer FLA .

The MRI Focal Laser Ablation Procedure

The following illustrations show the steps involved in MRI Focal Laser Ablation:

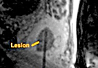
Step 1

sharpened_Untitled1-1
Pre-procedure MRI confirms placement of applicator in the target tissue.

Step 2

sharpened_Untitled2-1
The thin (1.6mm) laser fiber is then placed into the tumor through the rectum, under MRI guidance. The laser is activated to begin heating of the tumor. Using MR images and special software allows the physician to see the tissue heating during laser irradiation, and to control how much energy is delivered.

Step 3

During the procedure, the MRI is also used to monitor temperature-sensitive changes in the prostate tissue. This unique feature allows the physician to see the tissue heating while applying the laser energy.  At the same time, the destruction of tissue and tumor is confirmed. Typically the laser procedure takes about 1 hour.

Step 4

sharpened_Untitled3-1
Results are confirmed with MR images. The laser applicator is removed. The entire procedure, including preparation time, lasts approximately 1.5 to 2 hours.

It is the official position of the Scionti Prostate Center that MRI-guided Focal Laser Ablation  (FLA)  for prostate cancer is still under development, has limited data.  It can be offered to highly selected patients under the care of a highly experienced prostate cancer ablation specialist.